If you’re considering dental implants, you may have noticed that costs vary significantly worldwide. Colombia has gained attention as a top destination for affordable, high-quality dental care. Here, we’ll explore what you can expect in terms of costs for full mouth dental implants in Colombia, factors influencing those costs, and the advantages of choosing Colombia for your dental procedures.
The cost of full mouth dental implants in Colombia ranges from $7,500 to $20,000, which is 60-70% cheaper than in the U.S. and Canada.






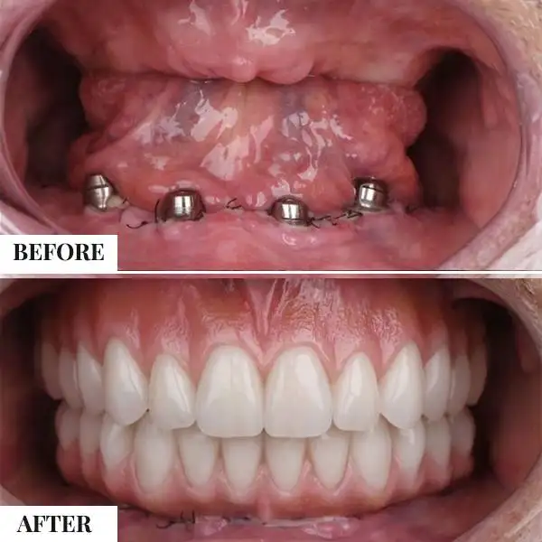
1. Overview of Full Mouth Dental Implants
Full mouth dental implants are an extensive procedure designed to restore all teeth in both the upper and lower jaws. Unlike traditional dentures, which sit on the gums, dental implants are embedded into the jawbone, providing a more stable, long-lasting solution that feels and functions much like natural teeth. Typically, full mouth restoration involves placing anywhere from four to eight implants in each jaw, depending on bone structure and the specific approach chosen.
The two main types of full mouth dental implant procedures include:
- All-on-4 or All-on-6 Implants: Fewer implants are used (four or six per arch), which reduces surgery time and costs.
- Individual Implants for Each Tooth: This approach is more comprehensive, but also more expensive and time-consuming.
2. Cost of Full Mouth Dental Implants in Colombia
The cost of full mouth dental implants in Colombia is significantly lower than in countries like the United States or Canada, making it a popular destination for dental tourism. While the price can vary based on several factors (outlined below), here is a general cost breakdown:
- All-on-4 Implants: $7,500 to $12,000 per arch
- All-on-6 Implants: $10,000 to $15,000 per arch
- Full Mouth Implants (Individual for Each Tooth): $20,000 to $30,000 for both arches
| Treatment Type | Average Cost (USD) | Details / Inclusions |
|---|---|---|
| All-on-4 Dental Implants (per arch) | $7,500 – $12,000 | Uses 4 implants per jaw to support a fixed full-arch bridge. Ideal for patients with good bone density. |
| All-on-6 Dental Implants (per arch) | $10,000 – $15,000 | Uses 6 implants per arch for extra support and stability, suitable for patients with moderate bone loss. |
| All-on-8 Dental Implants (per arch) | $12,000 – $17,000 | Offers maximum strength and durability; often used for upper jaws or heavier bite forces. |
| Full Mouth (Both Arches) All-on-4 | $15,000 – $22,000 | Complete upper and lower jaw restoration using the All-on-4 system. |
| Full Mouth (Both Arches) All-on-6 | $20,000 – $28,000 | Most common full-mouth restoration package for long-term stability and function. |
| Individual Implants (Full Mouth, ~24–28 teeth) | $25,000 – $35,000 | Each missing tooth replaced with its own titanium implant and crown; most natural option but also most expensive. |
Additional or Optional Costs
| Service / Procedure | Estimated Cost (USD) | Notes |
|---|---|---|
| Initial Consultation | $50 – $100 | Sometimes included in total treatment package. |
| X-rays & 3D CT Scan | $100 – $200 | Required for precise treatment planning. |
| Bone Graft / Sinus Lift (if needed) | $200 – $800 per area | Additional cost if bone support is insufficient. |
| Temporary Dentures / Bridges | $300 – $700 | Optional for immediate aesthetics before final prosthesis. |
| Travel & Accommodation (7–10 days stay) | $800 – $1,500 | Varies by city (Bogotá, Medellín, Cartagena). |
| Follow-up or Second Visit (if staged) | Variable | Some treatments are done in two trips, 3–6 months apart. |
In the U.S., these prices can range from $25,000 to $50,000 per arch, meaning that patients could save up to 60-70% by choosing Colombia for their procedure.
3. Factors Influencing the Cost of Dental Implants in Colombia
Several factors can impact the total cost of full mouth dental implants in Colombia:
- Type of Implant System: Some implant systems are more expensive due to advanced materials or specific design for longevity and adaptability.
- Number of Implants: Opting for an All-on-4 or All-on-6 procedure typically costs less than individual implants for each tooth.
- Bone Grafting or Sinus Lift: If a patient has significant bone loss, additional procedures like bone grafting or sinus lifts may be necessary, which adds to the cost.
- Location of the Clinic: Clinics in major cities like Bogotá or Medellín may have different pricing compared to those in smaller towns.
- Dentist’s Experience and Credentials: Experienced implantologists may charge higher fees due to their expertise and successful track record.
4. Why Choose Colombia for Full Mouth Dental Implants?
Beyond cost savings, Colombia offers several benefits for dental implant patients:
- High-Quality Care: Many Colombian dentists have received training from internationally recognized institutions and adhere to strict quality standards, providing care on par with the U.S. and Europe.
- Advanced Technology: Clinics in Colombia often use state-of-the-art equipment, including 3D imaging, digital planning, and CAD/CAM technology, ensuring precision and safety.
- Shorter Wait Times: Patients in Colombia typically experience shorter wait times compared to those in countries with higher demand for implants.
- Beautiful Travel Destination: Colombia offers a beautiful backdrop for recovery, with cities like Bogotá, Cartagena, and Medellín offering rich culture, cuisine, and scenic views.
5. Procedure Steps for Full Mouth Dental Implants in Colombia
- Consultation and Planning: During an initial consultation, the dentist will assess your dental health, bone structure, and needs to develop a tailored treatment plan.
- Preparation: For patients needing extractions, bone grafting, or sinus lifts, these procedures may be done beforehand or at the time of implant placement.
- Implant Placement Surgery: Implants are placed in the jawbone during a surgical procedure. This typically takes a few hours and is performed under local anesthesia or sedation.
- Healing Period: After implant placement, there’s a healing period (usually 3-6 months) to allow the bone to integrate with the implants.
- Final Restoration: Once healing is complete, the dentist attaches the permanent prosthetic teeth, creating a natural, secure smile.
6. Comparing Full Mouth Implant Options: All-on-4 vs. Individual Implants
If you’re considering the cost of full mouth dental implants in Colombia, it’s essential to understand the difference between the All-on-4 and individual implant options:
- All-on-4/All-on-6: A cost-effective solution that provides full-arch restoration with just four or six implants per jaw. The procedure is faster, with less healing time and cost.
- Individual Implants: This option replicates each natural tooth individually, creating a highly natural look and feel. Though more expensive, it may be the best choice for patients with specific dental needs or cosmetic goals.
7. Additional Costs to Consider
While Colombia offers some of the most affordable full mouth dental implants, it’s important to budget for additional costs, including:
- Consultation Fees: These may be included in the procedure cost but can range from $50 to $100.
- X-rays and CT Scans: Necessary for accurate planning, often costing between $100 and $200.
- Travel Expenses: Flights and accommodation can vary widely but should be factored into the overall budget.
- Follow-up Visits: Some follow-up appointments may be required after returning home or during a subsequent visit to Colombia.
8. Frequently Asked Questions
Q: Is it safe to get dental implants in Colombia?
A: Yes, Colombia has a growing reputation for high-quality dental care, with many clinics meeting international standards. Researching the clinic, reviewing patient testimonials, and confirming the dentist’s credentials are recommended.
Q: How long do I need to stay in Colombia for the procedure?
A: For the initial implant placement, most patients stay in Colombia for 7-10 days. If a two-stage approach is necessary, a return visit will likely be needed 3-6 months later.
Q: Can I finance my dental implants in Colombia?
A: Some clinics offer financing plans to international patients, while others accept third-party financing companies. It’s best to discuss financing options directly with the clinic.
Q: How do Colombian clinics compare to U.S. clinics in terms of quality?
A: Many Colombian clinics use the same high-grade materials, advanced technology, and rigorous protocols as those in the U.S. Dental tourism in Colombia is popular due to its affordability without compromising quality.
9. Conclusion: Full Mouth Dental Implants in Colombia – A Valuable Choice
Full mouth dental implants are a life-changing investment, offering improved appearance, function, and confidence. By choosing Colombia, patients gain access to quality dental care at a fraction of the price in countries like the United States. With proper planning and research, you can achieve excellent results and enjoy a new, beautiful smile.
Your Health Journey Starts Here – Connect with Our Consultants Today!
Please complete and submit a Patient Information Form to authorize our agency to forward your protected health information to the healthcare provider of your choice.Get 5% off your treatment by using discount code UMT5%.
Patient Information FormReferences
Medical and regulatory sources used to support the information in this article.



